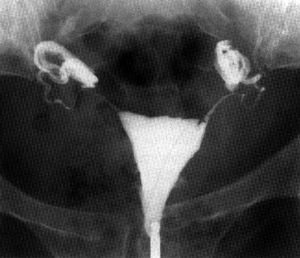
HYSTERO-SALPINGOGRAPHIE

(opacification de l'utérus et des trompes)